Veneers
Before

After

Severely worn lower teeth repaired with conservative veneers.
Orthodontics (Braces)
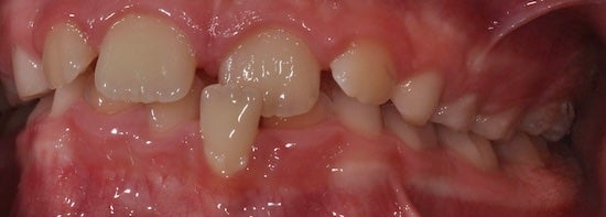
Before

After

Mid-treatment of correcting crowding with traditional braces.
Orthodontics (Braces)
Before

After

Correcting a patients crossbite with traditional braces.
Dental Implant
Before

After

Dental implant to replace missing front tooth.
Replacing a Missing Front Tooth
Before

After

This patient had a baby tooth that failed and she wanted a non-invasive replacement.
Teeth Cleaning
Before

After

Pagination
Get a brighter smile today!
Contact us now to schedule your appointment and have the smile you've dreamed about!