Gum Recession: Causes, Treatment, and Prevention

Gum Recession

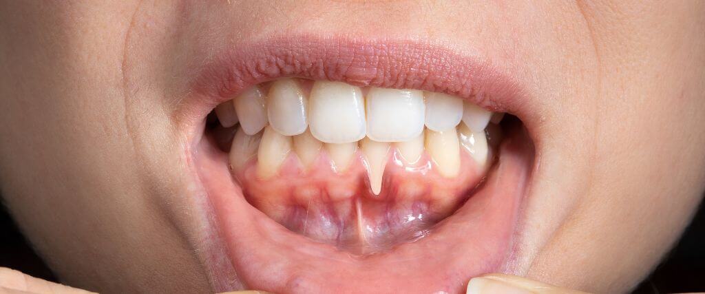
Have you ever noticed your teeth appearing longer or cringed at a cold beverage touching your exposed roots? These could be subtle signs of gum recession, a gradual retreat of gum tissue that exposes the sensitive dentin underneath. While common, gum recession shouldn’t be taken lightly. Understanding its causes, available treatments, and prevention tactics is vital for maintaining a healthy, confident smile.

The Culprit Behind Gum Recession: Plaque and Gum Disease

The primary culprit behind gum recession often hides in plain sight: plaque. This sticky film of bacteria forms on teeth throughout the day. If not removed daily through diligent brushing and flossing, it hardens into tartar, a stubborn deposit that clings to enamel and below the gum line. Left unchecked, plaque and tartar irritate the gums, triggering gingivitis, the initial stage of gum disease.

Gingivitis, characterized by red, inflamed gums that bleed easily, is reversible with good oral hygiene. However, neglecting it paves the way for periodontitis, a severe infection that damages both the gum tissue and the underlying bone supporting your teeth. This destructive process can lead to gum recession, loose teeth, and even tooth loss.

Other Causes of Receding Gums

While plaque and gum disease are the leading culprits, other factors can contribute to gum recession:

  • Aggressive Brushing: Overzealous scrubbing with a hard-bristled toothbrush can wear away gum tissue and does more harm than good. Opt for gentle brushing with a soft-bristled brush, and focus on removing plaque at the gum line.

  • Tobacco Use: Smoking weakens your immune system and decreases blood flow to your gums. This makes them more susceptible to infection and recession.  Quitting smoking is crucial for both overall and oral health.

Other potential contributors to receding gums include genetics, misaligned teeth, and teeth grinding (bruxism). Certain medications can also play a role. If you have any concerns, discuss them with your dentist or primary care provider.

Recognizing the Signs

Early detection and treatment are the keys to effectively managing gum recession.

Be mindful of these telltale signs of gum recession:

  • Receding gum line: This exposes more of the tooth root, making teeth appear longer. If you can see more of the surface of a tooth or multiple teeth, your gums are receding.

  • Exposed tooth roots: Exposed roots are more sensitive to cold and sweets, so you may experience new or worsening discomfort as your gums recede.

  • Gingival bleeding: Bleeding gums, even during gentle brushing or flossing, indicate there is a problem. Contact your dentist.

  • Loose teeth: Advanced gum recession can loosen teeth, potentially leading to tooth loss.

Treatment Options

The good news is that gum recession is treatable, depending on its severity.

Common treatments for receding gums include:

  • Early intervention: When caught early, scaling and root planing, a deep cleaning procedure, can remove plaque and tartar below the gum line, halting the progression of gum disease. Your dentist may also prescribe antibiotics or medicated mouthwashes to control infection.

  • Surgical procedures: In more advanced cases, surgical options like gum grafting or flap surgery can regenerate lost gum tissue and cover exposed roots. In some cases, bone grafting might be necessary to rebuild bone lost due to severe gum disease.

  • Emerging techniques: Regenerative techniques like tissue engineering and protein applications show promise in promoting gum tissue regeneration. While still under development, they offer hope for future advancements in gum recession treatment.

Safeguarding Your Smile

The best approach to gum recession is prevention. Here are some important steps to incorporate into your routine:

  • Practice good oral hygiene: Brush twice daily, floss daily, and use antiseptic mouthwash to remove plaque and bacteria effectively.

  • Use proper brushing techniques: Avoid aggressive brushing and use a soft-bristled toothbrush to clean gently at the gum line.

  • Schedule regular dental checkups and cleanings: Schedule appointments with your dentist every 6 months for professional cleanings and checkups to detect and address gum problems early on.

  • Kick the tobacco habit: Quitting smoking is essential for improving your overall health and preventing gum disease and recession. Seek support from your doctor or other resources if needed.

  • Manage underlying health conditions: Diabetes and other health issues can impact oral health. Work with your healthcare team to manage them effectively.

  • Consider protective measures: If you grind your teeth, wear a mouthguard while sleeping to prevent damage.

Conclusion

Gum Recession 

Gum recession is a common concern, but it doesn’t have to dictate your oral health journey. By Gum recession is a common concern, but it doesn’t have to dictate your oral health journey. By understanding the causes, treatment options, and most importantly, preventive measures, you can maintain a healthy, confident smile.  If you experience gum recession, don’t hesitate to make an appointment with your dentist. Together, you can create a personalized plan to address the issue and maintain a healthy, beautiful smile for years to come. 

Taking charge of your oral health empowers you to prevent gum recession in the first place, and if it arises, manage it effectively. A healthy smile is about more than appearances. It reflects your overall well-being and impacts your confidence in countless ways. So, prioritize your oral hygiene, schedule regular dental checkups, and address any concerns promptly. With the appropriate knowledge and a proactive approach, you can keep your smile healthy for life.